
Першим кроком ми провели комплексне обстеження за сучасним цифровим протоколом. Завдяки детальному аналізу комп'ютерної томографії (КТ) ми отримали повну картину стану кожної одиниці та структури щелепи. Це дозволило нам не просто змінити естетику, а спрогнозувати надійний та довготривалий результат, враховуючи індивідуальні особливості прикусу.

Для досягнення ідеального та здорового результату ми діяли комплексно. Спочатку було проведено терапевтичне лікування карієсу, щоб забезпечити надійну основу. Оскільки пацієнтка прагнула змінити колір, ми виконали професійне відбілювання зубів нижньої щелепи. Це дозволило нам надалі підібрати максимально світлий та природний відтінок для майбутніх керамічних реставрацій.

Окрім естетики, важливо було забезпечити довгострокове здоров'я жувальних зубів. За медичними показаннями ми замінили застарілі методи відновлення на 4 високоміцні керамічні реставрації (вкладки). Це найнадійніший спосіб вберегти зуби від подальшого каріозного руйнування та повністю відновити їхню жувальну функцію.

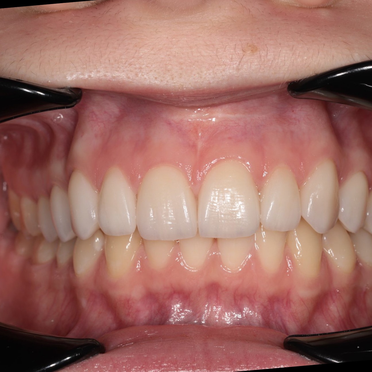
На завершальному етапі ми встановили 10 керамічних реставрацій на передню групу зубів верхньої щелепи. Ми приділили особливу увагу підбору кольору та форми, щоб вони ідеально гармоніювали з відбіленими нижніми зубами та створювали ефект абсолютно природної, але бездоганної посмішки з рівним ріжучим краєм.
